DOLAR
44,7707
% 0.04
EURO
52,9359
% 0.19
STERLIN
60,8831
% 0.23
FRANG
57,3394
% 0.17
ALTIN
6.948,77
% 0,81
BITCOIN
74.966,92
1.494
BURÇLAR
CANLI SONUÇLAR
CANLI TV
CANLI BORSA
HİSSELER
PARİTELER
FİRMA REHBERİ
GAZETELER
HAVA DURUMU
NAMAZ VAKİTLERİ
NÖBETÇİ ECZANELER
PUAN DURUMU
TRAFİK DURUMU
YEREL HABERLER
POPÜLER GALERİLER
TÜM MANŞET HABERLERİ
WhatsApp İhbar Hattı
GİRİŞ YAP
ÜYE OL
Web sitemizde yer alan haber içerikleri izin alınmadan, kaynak gösterilerek dahi iktibas edilemez. Kanuna aykırı ve izinsiz olarak kopyalanamaz, başka yerde yayınlanamaz.
GÜNDEM
YURT
DÜNYA
SİYASET
EKONOMİ
CANLI BORSA
HİSSELER
PARİTELER
SPOR
CANLI SONUÇLAR
FİKSTÜR
PUAN DURUMU
MAGAZİN
BURÇLAR
FOTO
VİDEO
23:41
Amedspor’da Ümraniye Beraberliği Sonrası Açıklama: “Avantaj Bizde, Vazgeçmeyeceğiz”
22:58
Amedspor, Ümraniyespor’la Evinde 2-2 Berabere Kaldı
13:08
Diyarbakır’da ‘Anka Çocuk Destek’ Eğitim Programı Düzenlendi
12:22
CHP Diyarbakır İl Başkanı İstifa Etmişti, Yeni Başkan Seçildi
12:01
Diyarbakır Müzesi’nde İhale Usulsüzlüğü; İhaleyi Alan Firmayı Elediler
18:27
Metina Aşireti Derik’te Toplandı, Sorunlar Masaya Yatırıldı
2:12
Metina Aşireti’nden Kaymakam Erdoğan’a Ziyaret: Bölgenin Sorunları Gündeme Taşındı
20:24
Adalet Bakanı Gürlek, AK Parti ve MHP’yi Ziyaret Etti
15:45
Diyarbakır Sağlık-Sen’de “Değişim” Çıkışı; Koç Adaylığını Açıkladı
15:01
SP’li Arıkan: “Türkiye’mizin Gerçekten Yaşanabilir Olmasını İstiyorsak Terörü Bitirmeliyiz”
14 Mart 2026 - 11:48
Diyarbakır’da Durdurulan TIR’da 81 Kilo Metamfetamin Ele Geçirildi
13 Ekim 2025 - 23:56
Uygulama Noktasından Kaçan Uyuşturucu Yüklü Otomobil, 3 Araca Çarptı: 7 Yaralı
20 Haziran 2023 - 9:53
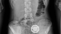
4 şüphelinin midesinden 121 parça halinde 840 gram eroin çıktı
MANŞET HABERLERİ
Amedspor’da Ümraniye Beraberliği Sonrası Açıklama: “Avantaj Bizde, Vazgeçmeyeceğiz”
01
Amedspor, Ümraniyespor’la Evinde 2-2 Berabere Kaldı
02
Diyarbakır’da ‘Anka Çocuk Destek’ Eğitim Programı Düzenlendi
03
CHP Diyarbakır İl Başkanı İstifa Etmişti, Yeni Başkan Seçildi
04
Diyarbakır Müzesi’nde İhale Usulsüzlüğü; İhaleyi Alan Firmayı Elediler
05
Bu sayfanın içeriğini kopyalayamazsınız